PEEK Anchor Material for Sports Medicine Applications
PEEK-OPTIMA polymers in sports medicine devices

Improved bone on-growth
PEEK anchors demonstrate improved bone on-growth in open construct anchors at months post-op CT when compared with biocomposite anchors8

Lower rates of osteolysis in rotator cuff repair
Studies show that anchors made with PEEK demonstrate significantly lower osteolysis than resorbable anchors9 in patients undergoing arthroscopic rotator cuff repair

Fully threaded and knotless PEEK soft tissue fixation

PEEK-OPTIMATM polymers offer bone ongrowth and strength as demanded by high-load implant applications, combined with artifact-free imaging10

APPLICATIONS

Shoulder arthroscopy
Suture anchors made using PEEK-OPTIMATM polymers provide a strong, stable and highly versatile platform for optimal tissue-to-bone healing1,7.
The mechanical properties of PEEK-OPTIMA deliver several clinical benefits over metals, bioabsorbable and other biomaterials:
- design flexibility to incorporate complex functionality such as knotless retention of suture, allowing the surgeon to eliminate manual knot tying
- significantly lower osteolysis8
- improved bone ongrowth9

Knee arthroscopy
Tibial and femoral interference screw systems made from PEEK-OPTIMATM polymers provide many structural properties needed when designing the next generation fixation system:
- Cortical and cancellous thread forms can be molded or machined to provide the ideal bite for the target boney substrate
- Strength to withstand the high torque loads encountered during graft impingement in the bone tunnel
- Are radiolucent, allowing simple post-operative assessment of repairs before final tensioning and closure using standard imaging techniques2
- Bio-inert to reduce the risk of patient reaction to devices implanted in the body2

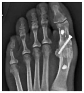
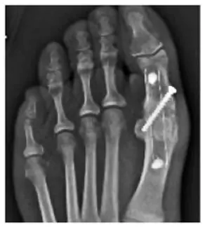
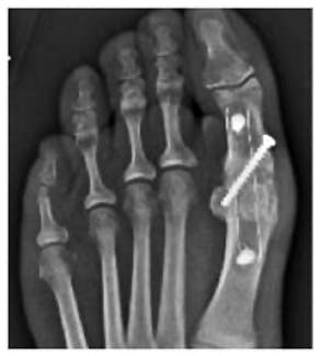
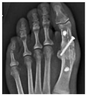
Extremities
Pre-contoured anatomic plates for hand, foot & ankle applications, cannulated implants for proximal interphalangeal fusions, and wedges for osteotomies are examples where PEEK-OPTIMA polymers can drive superior performance, including:
- Bioinert and biocompatible with modulus of elasticity close to cortical bone
- Radiolucency allowing for a more accurate assessment of fusion3
- Improved patient satisfaction4
- Improved level of direct bone contact in as early as 4 weeks5
- New bone formation as early as 6 weeks6
Get help with material selection from the #1 PEEK experts
Featured resources




References
1. Nho SJ, Provencher MT, Seroyer ST, Romeo AA. Arthroscopy. 2009 Jul.
2. Supportive information available on request.
3. Rhee PC, Shin AY. The rate of successful four-corner arthrodesis with a locking, dorsal circular polyether-ether-ketone (PEEK-Optima) plate. J Hand Surg Eur. Vol. 2013 Sep;38(7):767-73.
4. Harmer JL, et al. A Midterm Review of Lesser Toe Arthrodesis With an Intramedullary Implant. Foot Ankle Spec. 2017 Oct;10(5):458-464.
5. Walsh WR, et al. Does PEEK/HA Enhance Bone Formation Compared With PEEK in a Sheep Cervical Fusion Model? Clin Orthop Relat Res. 2016 Nov; 474(11): 2364–2372.
6. Study evaluated the in vivo response to PEEK-OPTIMA™ Natural, PEEK-OPTIMA™ HA Enhanced and Supportive information available on request.
7. F. A. Barber, M.A. Herbert, C. Beavis, F. Orro; J. of Arthroscopic and Related Surgery; Vol. 24, No 8; 2008
8. Micic I, et al. Osteolysis is observed around both bioabsorbable and nonabsorbable anchors on serial magnetic resonance images of patients undergoing arthroscopic rotator cuff repair. Acta Orthop Traumatol Turc. 2019 Nov;53(6):414-419
9. Kim K, Kim Y, et al. A Comparison of Open-Construct PEEK Suture Anchor and Non-Vented Biocomposite Suture Anchor in Arthroscopic Rotator Cuff Repair: A Prospective Randomized Clinical Trial. Arthroscopy.2020 Feb;36(2):389-396.
10.Image: CFR-PEEK composite fusion plate X-ray image, courtesy of Carbofix.
11.Hercules™ Suture Anchor System is a registered trademark of In2Bones Inc.
12.FOOTPRINT◊ is a registered trademark of Smith & Nephew.